犬山市、犬山の歯医者・歯科・歯科医院なら

〒484-0081 愛知県犬山市大字犬山字下時迫間12-1
名鉄「犬山駅」より徒歩10分

診療時間
午前
午後

午前:9:00~12:30/午後:14:30~18:00
▲:14:30~17:30(休診日:木曜・日曜・祝日)

ご予約・お問合せはこちらへ

0568-62-7818
  • 犬山市で小児矯正をお探しなら|阿部歯科医院

こどもマウスピース矯正症例豊富
アクセス良好で、幅広い症例に対応!

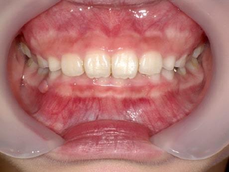
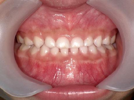
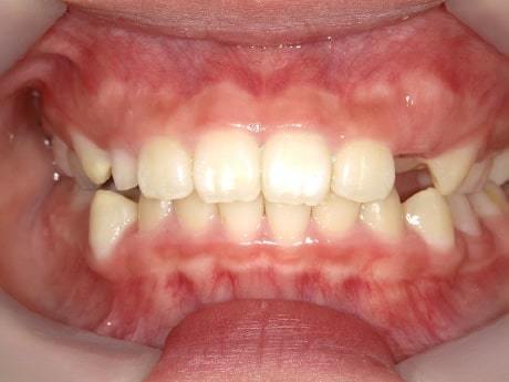
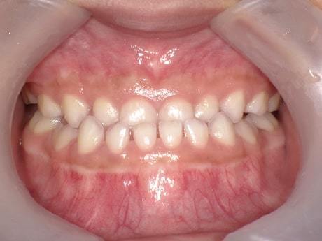
症例❶ 過蓋咬合

(前歯のかみ合わせが深すぎる)

before

after

治療開始時年齢
6歳
性別
女の子
治療期間
小児矯正
治療期間
1年
治療費用
38.5万円(税抜き35万円)

想定リスク:顎の成長に合わせて歯並びを改善するため、一時的に歯並びが悪い状態になることがあります。マウスピース装置により疼痛・咬合時痛みが生じる事があります。割れたり壊れたりする事があります。こども本人が毎月の簡単なトレーニングを行わないと、効果が見込めないことがあります。

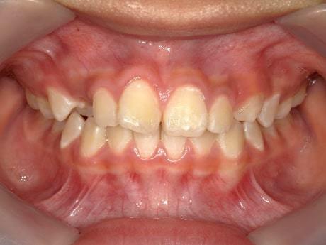
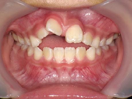
症例❷ 開咬

(前歯がかみ合っていない)

before

after

治療開始時年齢
8歳
性別
女の子
治療期間
小児矯正
治療期間
2年2か月
治療費用
38.5万円(税抜き35万円)

想定リスク:顎の成長に合わせて歯並びを改善するため、一時的に歯並びが悪い状態になることがあります。マウスピース装置により疼痛・咬合時痛みが生じる事があります。割れたり壊れたりする事があります。こども本人が毎月の簡単なトレーニングを行わないと、効果が見込めないことがあります。

症例❸ 反対咬合

(下の歯が前に出てしまっている)

before

after

治療開始時年齢
5歳
性別
女の子
治療期間
小児矯正
治療期間
10か月
治療費用
11万円(税抜き10万円)

想定リスク:顎の成長に合わせて歯並びを改善するため、一時的に歯並びが悪い状態になることがあります。マウスピース装置により疼痛・咬合時痛みが生じる事があります。割れたり壊れたりする事があります。こども本人が毎月の簡単なトレーニングを行わないと、効果が見込めないことがあります。

正しい咬合

永久歯に生え変わったが
全体的に隙間がある

乳歯に隙間がない

歯がねじれて
生えてきた

永久歯が
生えてこない

永久歯の数が
足りない

上の前歯が
前方に出ている

下の歯が上の歯より
前に出ている

前歯があたらない

部分的に
かみ合わせが反対

上の前歯が
大きく離れている

歯並びが
ガタガタ

下の歯が隠れて
見えない

上下の前歯の真ん中が
ずれている

当院ではマウスピースと顎拡大装置と
トレーニングを組み合わせます

樹脂性のマウスピース装置を用いて、歯並びが悪くなる原因の口呼吸や癖の改善を目指します。

歯に適切な力が加わる、不正な力が加わらないようにすることで歯並びも整いやすくなります。

歯並びが悪くなる原因を改善しておくことで、矯正後の後戻りと呼ばれる、歯並びが元通りになってしまう現象を防ぎます。

毎日のトレーニングを通して、素敵な歯並びと笑顔をもっと輝かせていきたいと思っています。

子どもは6~10歳の間に顔やあごの骨格が一気に成長します。その成長のタイミングに合わせて、顎が小さい子には健やかな顎の発育を促す装置をつけていただきます。

痛みが少なく、続けやすい

当院で使用する矯正装置は、ワイヤー矯正に比べ痛みが抑えられています。理由は、無理やり力を加えて歯を動かす装置ではないため。

歯に加わる不正な力を抑制し健全な力が歯に加わるサポートを行う、成長期の子供の時だからこそできる矯正装置で、歯並びを改善に導きます。

矯正装置が目立ちづらい

マウスピース型の矯正装置を着用するのですが、着用するのは就寝中と日中1時間です。

基本的に人前で着用する必要がないため、矯正装置を着用している場面を見られることも少ないです。安心して治療を行うことができます。

歯並びと一緒に
お顔立ちも素敵に

当院の矯正治療は、お口周りの筋肉もトレーニングすることで、歯並びだけでなくお口周りも引き締まってお顔立ちももっと素敵になります。

特にお口ぽかんのお子様にはおススメです。

健康にもプラスの効果

当院の矯正治療は、口呼吸や低位舌といった「お口の癖」にも改善アプローチをかけます。

口呼吸から鼻呼吸になることで、綺麗で加湿された空気を取り入れれるように呼吸の質が変わり、健康にとって非常にプラスに働きます。

大人になってからの
矯正治療より
安く済みやすい

こどもの時の矯正治療は、大人の永久歯になってからの矯正治療より安く済むことが多いです。

当院でも大人の矯正治療の約半額で、歯並びと歯並びが悪化する原因までアプローチできるので、非常に喜ばれています。

成長を利用して
骨格からアプローチできる

歯並びと骨格の成長は12歳前後までで止まります。

この成長期にアプローチできるからこそ、骨格も含めた全体的な歯並びの改善につなげることができます。

非抜歯で矯正できる

骨格が固まり切る前のこどもの矯正治療の場合、顎を拡大する矯正を行えるので、抜歯することなく矯正を行えます。

歯並び・クセ・お顔立ちを
納得できるレベルまで改善

予防矯正(小児矯正)

¥385,000

(税別¥350,000)

樹脂性のマウスピース矯正と、クセ改善装置とトレーニングを適宜お渡し・指導して、ご両親がご納得いただけるところまで改善させていきます。
価格も大人の矯正治療の半分程度で、当院で最も選ばれているこどもの矯正治療です。

当院の小児矯正ページをご覧いただき、ありがとうございます。院長の阿部です。

私はここ犬山で40年以上歯科医師として地域のお子様の歯と歯並びを見守ってまいりました。

日々小児診療に携わっている中で、ふと、そのお子様のことが心配になったりもします。

「毎日楽しく過ごせているかな」

「コンプレックスは抱えていないかな」

「この子の将来のために、できることはないかな」

厚かましいかもしれませんが、そんなことをよく考えます。

特に歯並びに問題を抱えているお子様を見ると、なんとか歯並びを改善できないかなと思ってしまいます。

小児矯正は決して安いものではありません。そしてこどもの将来に大きな影響を与えるものです。

だからこそ、小児矯正をする医院をお探しの際は、治療内容や価格、治療期間、類似症例などを確認し、お子様も親御さんも納得の上で小児矯正治療を行う医院を選んでもらいたいと思います。

当院は無料の小児矯正相談を承っております。お子様の歯並びに不安を抱えている親御さんはぜひお気軽にご連絡ください。

阿部歯科医院
院長 阿部 正俊

【家族構成】 妻と二男一女 そして
マルチーズ1匹

アクセス

〒484-0081 犬山市大字犬山字下時迫間12-1

名鉄犬山駅より徒歩10分。または、名鉄犬山駅よりバス利用「下時迫間」下車徒歩3分

お電話でのお問合せはこちら

0568-62-7818
診療時間
午前
午後

午前:9:00~12:30/午後:14:30~18:00

▲:14:30~17:30 休診日:木曜・日曜・祝日

検診・歯石とり・歯のクリーニング・フッ素塗布などもご予約いただけます。3か月先のご予約もお気軽にどうぞ。

0568-62-7818

診療時間

 
午前
午後

午前:9:00~12:30
午後:14:30~18:00
:14:30~17:30

休診日:木曜・日曜・祝日

アクセス

0568-62-7818

〒484-0081
愛知県犬山市大字犬山字下時迫間12-1
名鉄「犬山駅」より徒歩10分